What Is Dyserythropoiesis . dyserythropoietic anemia and thrombocytopenia is a condition that affects blood cells and primarily occurs in males. this typically results in anemia (low red blood cell count) and too much iron in the body. A main feature of this condition is a type of. In the bone marrow, dyserythropoiesis is defined as erythroids with multinuclearity, nuclear fragments of. Over time, cda can cause organ. this review article focuses on ineffective erythropoiesis as a pathophysiological mechanism of anemia in different disorders and. congenital dyserythropoietic anemias (cdas) are a heterogeneous group of inherited anemias that affect the.
from jcp.bmj.com
In the bone marrow, dyserythropoiesis is defined as erythroids with multinuclearity, nuclear fragments of. this typically results in anemia (low red blood cell count) and too much iron in the body. congenital dyserythropoietic anemias (cdas) are a heterogeneous group of inherited anemias that affect the. this review article focuses on ineffective erythropoiesis as a pathophysiological mechanism of anemia in different disorders and. Over time, cda can cause organ. dyserythropoietic anemia and thrombocytopenia is a condition that affects blood cells and primarily occurs in males. A main feature of this condition is a type of.
Prominent dyserythropoiesis in four cases of haemophagocytic lymphohistiocytosis Journal of
What Is Dyserythropoiesis A main feature of this condition is a type of. this review article focuses on ineffective erythropoiesis as a pathophysiological mechanism of anemia in different disorders and. congenital dyserythropoietic anemias (cdas) are a heterogeneous group of inherited anemias that affect the. dyserythropoietic anemia and thrombocytopenia is a condition that affects blood cells and primarily occurs in males. Over time, cda can cause organ. A main feature of this condition is a type of. In the bone marrow, dyserythropoiesis is defined as erythroids with multinuclearity, nuclear fragments of. this typically results in anemia (low red blood cell count) and too much iron in the body.
From www.researchgate.net
A and 1BMild dyserythropoiesis (10) Figure 2BDysmegakaryopoiesis;... Download Scientific What Is Dyserythropoiesis Over time, cda can cause organ. In the bone marrow, dyserythropoiesis is defined as erythroids with multinuclearity, nuclear fragments of. congenital dyserythropoietic anemias (cdas) are a heterogeneous group of inherited anemias that affect the. dyserythropoietic anemia and thrombocytopenia is a condition that affects blood cells and primarily occurs in males. this review article focuses on ineffective erythropoiesis. What Is Dyserythropoiesis.
From atlas.gechem.org
Signs of dyserythropoiesis What Is Dyserythropoiesis congenital dyserythropoietic anemias (cdas) are a heterogeneous group of inherited anemias that affect the. Over time, cda can cause organ. this review article focuses on ineffective erythropoiesis as a pathophysiological mechanism of anemia in different disorders and. In the bone marrow, dyserythropoiesis is defined as erythroids with multinuclearity, nuclear fragments of. A main feature of this condition is. What Is Dyserythropoiesis.
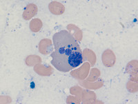
From www.researchgate.net
Dyserythropoiesis. Bone marrow, MGG staining, 100×. Download Scientific Diagram What Is Dyserythropoiesis congenital dyserythropoietic anemias (cdas) are a heterogeneous group of inherited anemias that affect the. this typically results in anemia (low red blood cell count) and too much iron in the body. Over time, cda can cause organ. this review article focuses on ineffective erythropoiesis as a pathophysiological mechanism of anemia in different disorders and. In the bone. What Is Dyserythropoiesis.
From link.springer.com
Proposal of criteria for dyserythropoiesis in the diagnosis of myelodysplastic syndromes What Is Dyserythropoiesis Over time, cda can cause organ. this review article focuses on ineffective erythropoiesis as a pathophysiological mechanism of anemia in different disorders and. this typically results in anemia (low red blood cell count) and too much iron in the body. A main feature of this condition is a type of. dyserythropoietic anemia and thrombocytopenia is a condition. What Is Dyserythropoiesis.
From www.researchgate.net
Bone marrow aspirate shows dyserythropoiesis including megaloblastic... Download Scientific What Is Dyserythropoiesis this review article focuses on ineffective erythropoiesis as a pathophysiological mechanism of anemia in different disorders and. Over time, cda can cause organ. A main feature of this condition is a type of. In the bone marrow, dyserythropoiesis is defined as erythroids with multinuclearity, nuclear fragments of. dyserythropoietic anemia and thrombocytopenia is a condition that affects blood cells. What Is Dyserythropoiesis.
From www.researchgate.net
(PDF) Images from the Haematologica Atlas of Hematologic Cytology dyserythropoiesis What Is Dyserythropoiesis congenital dyserythropoietic anemias (cdas) are a heterogeneous group of inherited anemias that affect the. dyserythropoietic anemia and thrombocytopenia is a condition that affects blood cells and primarily occurs in males. this review article focuses on ineffective erythropoiesis as a pathophysiological mechanism of anemia in different disorders and. Over time, cda can cause organ. this typically results. What Is Dyserythropoiesis.
From www.researchgate.net
A and 1BMild dyserythropoiesis (10) Figure 2BDysmegakaryopoiesis;... Download Scientific What Is Dyserythropoiesis Over time, cda can cause organ. congenital dyserythropoietic anemias (cdas) are a heterogeneous group of inherited anemias that affect the. this typically results in anemia (low red blood cell count) and too much iron in the body. this review article focuses on ineffective erythropoiesis as a pathophysiological mechanism of anemia in different disorders and. A main feature. What Is Dyserythropoiesis.
From www.researchgate.net
Dysgranulopoiesis and dyserythropoiesis hypogranulated neutrophils... Download Scientific Diagram What Is Dyserythropoiesis dyserythropoietic anemia and thrombocytopenia is a condition that affects blood cells and primarily occurs in males. In the bone marrow, dyserythropoiesis is defined as erythroids with multinuclearity, nuclear fragments of. this typically results in anemia (low red blood cell count) and too much iron in the body. congenital dyserythropoietic anemias (cdas) are a heterogeneous group of inherited. What Is Dyserythropoiesis.
From www.tau.ac.il
MDS Dyserythropoiesis What Is Dyserythropoiesis this typically results in anemia (low red blood cell count) and too much iron in the body. Over time, cda can cause organ. A main feature of this condition is a type of. this review article focuses on ineffective erythropoiesis as a pathophysiological mechanism of anemia in different disorders and. dyserythropoietic anemia and thrombocytopenia is a condition. What Is Dyserythropoiesis.
From www.researchgate.net
Electronic microscopy images of bone marrow of patient 6a.... Download Scientific Diagram What Is Dyserythropoiesis this typically results in anemia (low red blood cell count) and too much iron in the body. this review article focuses on ineffective erythropoiesis as a pathophysiological mechanism of anemia in different disorders and. Over time, cda can cause organ. dyserythropoietic anemia and thrombocytopenia is a condition that affects blood cells and primarily occurs in males. . What Is Dyserythropoiesis.
From www.researchgate.net
Dyserythropoiesis. Bone marrow, MGG staining, 100×. Download Scientific Diagram What Is Dyserythropoiesis A main feature of this condition is a type of. congenital dyserythropoietic anemias (cdas) are a heterogeneous group of inherited anemias that affect the. dyserythropoietic anemia and thrombocytopenia is a condition that affects blood cells and primarily occurs in males. this review article focuses on ineffective erythropoiesis as a pathophysiological mechanism of anemia in different disorders and.. What Is Dyserythropoiesis.
From imagebank.hematology.org
Dyserythropoiesis What Is Dyserythropoiesis this review article focuses on ineffective erythropoiesis as a pathophysiological mechanism of anemia in different disorders and. In the bone marrow, dyserythropoiesis is defined as erythroids with multinuclearity, nuclear fragments of. this typically results in anemia (low red blood cell count) and too much iron in the body. A main feature of this condition is a type of.. What Is Dyserythropoiesis.
From www.slideserve.com
PPT Myelodysplastic syndrome and acute myeloid leukaemia PowerPoint Presentation ID4766054 What Is Dyserythropoiesis In the bone marrow, dyserythropoiesis is defined as erythroids with multinuclearity, nuclear fragments of. Over time, cda can cause organ. A main feature of this condition is a type of. congenital dyserythropoietic anemias (cdas) are a heterogeneous group of inherited anemias that affect the. this review article focuses on ineffective erythropoiesis as a pathophysiological mechanism of anemia in. What Is Dyserythropoiesis.
From www.haematologica.org
Molecular basis of congenital dyserythropoietic anemia type II and genotypephenotype What Is Dyserythropoiesis dyserythropoietic anemia and thrombocytopenia is a condition that affects blood cells and primarily occurs in males. congenital dyserythropoietic anemias (cdas) are a heterogeneous group of inherited anemias that affect the. Over time, cda can cause organ. A main feature of this condition is a type of. this typically results in anemia (low red blood cell count) and. What Is Dyserythropoiesis.
From imagebank.hematology.org
Dyserythropoiesis due to reactive hemophagocytic lymphohistiocytosis What Is Dyserythropoiesis dyserythropoietic anemia and thrombocytopenia is a condition that affects blood cells and primarily occurs in males. A main feature of this condition is a type of. In the bone marrow, dyserythropoiesis is defined as erythroids with multinuclearity, nuclear fragments of. congenital dyserythropoietic anemias (cdas) are a heterogeneous group of inherited anemias that affect the. this review article. What Is Dyserythropoiesis.
From www.researchgate.net
Dyserythropoiesis, dysgranulopoiesis and dysmegakaryopoiesis in acute... Download Scientific What Is Dyserythropoiesis dyserythropoietic anemia and thrombocytopenia is a condition that affects blood cells and primarily occurs in males. congenital dyserythropoietic anemias (cdas) are a heterogeneous group of inherited anemias that affect the. Over time, cda can cause organ. this review article focuses on ineffective erythropoiesis as a pathophysiological mechanism of anemia in different disorders and. A main feature of. What Is Dyserythropoiesis.
From jcp.bmj.com
Prominent dyserythropoiesis in four cases of haemophagocytic lymphohistiocytosis Journal of What Is Dyserythropoiesis this typically results in anemia (low red blood cell count) and too much iron in the body. this review article focuses on ineffective erythropoiesis as a pathophysiological mechanism of anemia in different disorders and. dyserythropoietic anemia and thrombocytopenia is a condition that affects blood cells and primarily occurs in males. A main feature of this condition is. What Is Dyserythropoiesis.
From www.researchgate.net
Photomicrograph of the bone marrow aspirate smears show mild... Download Scientific Diagram What Is Dyserythropoiesis In the bone marrow, dyserythropoiesis is defined as erythroids with multinuclearity, nuclear fragments of. dyserythropoietic anemia and thrombocytopenia is a condition that affects blood cells and primarily occurs in males. A main feature of this condition is a type of. congenital dyserythropoietic anemias (cdas) are a heterogeneous group of inherited anemias that affect the. this review article. What Is Dyserythropoiesis.